
- TOPページ
- オーダーメイド義歯
![]()
なぜ、オーダーメイド義歯は噛めるのでしょうか?
ポイント1
現状をきちんと把握し、「噛めない」「話せない」問題を改善していく治療です。粘膜が傷ついている方や顎の機能が著しく低下した方の場合は、治療用義歯でリハビリ治療をしてから義歯を作製していきます。
ポイント2
一人一人の骨格の形態を調べて、その人にあった噛みあわせを考えて作るオーダーメイド義歯だから噛めるのです。
ポイント3
すべての工程一つ一つが、丁寧に時間をかけて精密に作る義歯だから粘膜にぴったりします。

![]()

![]()


![]()

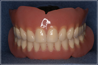
なぜ、オーダーメイド義歯は若さと健康を取り戻すことができるのでしょうか?
ポイント1
一人一人の骨格の形態を調べて、その人にあった口腔(噛みあわせ)機能を考えて作るオーダーメイド義歯は噛みあわせの高さを回復させるので、顔のハリや表情が違ってくるのです。
ポイント2
よく噛むことができて、話すことができる義歯は、唾液がよくでるため、
若さと健康を取り戻すことができます。
なぜならば、唾液には
消化作用(唾液中に含まれる唾液アミラーゼは消化を助ける消化酵素)、
粘膜保護作用(唾液中に含まれるムチンは胃を保護し嚥下や発音を円滑にする)、
清浄作用(唾液中に含まれるリゾチーム、ラクトフェリン)
また、唾液中に含まれる、パロチンは筋肉や内臓などを若返らせる働きがあり、若返りホルモンともいわれています。
EGF(上皮成長因子)は、肌の若返り効果があるといわれ、
NGF(神経成長因子)には、脳の若返り効果があると言われています。
ポイント3
人と会話したり、笑ったりすることができる義歯なので表情が明るくなり、若さと健康を取り戻すことができるのです。
上記バーコードで
携帯サイトを表示できます




